Боковая киста шеи (бранхиогенная опухоль) – это доброкачественное опухолевидное образование, которое снаружи покрыто капсулой, а внутри содержит полость с жидкостным содержимым. Боковые кисты шеи представляют собой врожденную патологию. Основной механизм ее формирования — нарушение закладки органов и тканей у эмбриона.
Боковые кисты располагаются в так называемом «сонном треугольнике»- кпереди от кивательной мышцы, по внутреннему ее краю, в верхней трети шеи около угла нижней челюсти.

Боковые кисты нередко протекают бессимптомно. Симптомы появляются при воспалении (нагноении) боковых кист, либо при больших размерах, когда боковое образование сдавливает магистральные сосуды и нервы шеи. При воспалившихся боковых кистах пациенты отмечают боль, отек и покраснение кожных покровов на шее. Так же пациенты могут отмечать затруднение или дискомфорт при глотании. Но чаще всего пациенты замечают узловое образование («шишка») на шее, как правило, при повороте головы в противоположную сторону.
Для диагностики боковых кист шеи необходим комплексный подход с применением МРТ/КТ шеи с внутривенным контрастированием, УЗИ мягких тканей шеи, а также тонкоигольную аспирационную биопсию для цитологического исследования с целью подтверждения диагноза.
Показания к операции
- Боковые кисты шеи
Как подготовиться
Удаление боковой кисты шеи предшествует консультация врача отделения патологии головы и шеи, стандартная лабораторно - инструментальная диагностика, а также КТ с контрастом или МРТ шеи, УЗИ мягких тканей шеи, выполнение тонкоигольчатой аспирационной биопсии с последующим цитологическим исследованием.
Рекомендовано сообщить хирургу о принимаемых лекарственных препаратах и о непереносимости (аллергических реакциях) лекарственных препаратов. Необходимо прекратить прием кроворазжижающих препаратов за несколько дней до оперативного вмешательства по согласованию с кардиологом, так как на фоне приема данных препаратов повышается риск развития кровотечений.
В целом предоперационная подготовка направлена на обеспечение безопасности пациента, успешное проведение хирургического лечения и снижение рисков развития послеоперационных осложнений.
Как проходит операция
Лечение боковых кист шеи проводится только хирургическом путем. Во избежание осложнений в виде нагноения или сдавления магистральных сосудов и нервов шеи боковую кисту лучше удалять как можно раньше.
Операция проходит под общий наркозом. Длительность оперативного вмешательства около 60 минут и зависит от локализации боковой кисты, сложности конкретного случая. Хирургом делается разрез на коже шеи по одной из кожных складок таким образом, чтобы после операции не осталось грубых рубцов. Далее новообразование выделяется из окружающих тканей и удаляется. Операционную рану ушивают косметическим швом.
Противопоказания к операции
Абсолютных противопоказаний к оперативному лечению нет
Возможные осложнения
Инфицирование послеоперационной раны в случае удаления воспаленной боковой кисты
Восстановление после операции
По окончании операции пациенту проводят антибактериальное, противовоспалительное лечение.
Длительность пребывания в стационаре зависит от типа операции, но обычно не превышает 3 дней.
Врач назначит повторный визит для смены повязки, осмотра послеоперационных швов, контроля состояния, а также снятия швов.
После удаления боковой кисты возможны ощущение боли, дискомфорта, общего недомогания. Для облегчения симптомов можно использовать безрецептурные обезболивающие препараты по назначению лечащего врача.
Лечение в ФНКЦ
Хирурги-онкологи/челюстно-лицевые Федерального научно-клинического центра ведут пациентов с различной патологией органов головы и шеи. Передовое оснащение отделения, лабораторно-инструментальные возможности медицинского центра, многолетний клинический опыт специалистов – это факторы, которые обеспечивают качественное выполнение хирургического лечения, а также контроль состояния после операции и своевременную коррекцию возможных осложнений.
Клинический случай в отделении патологии головы и шеи ФНКЦ ФМБА России
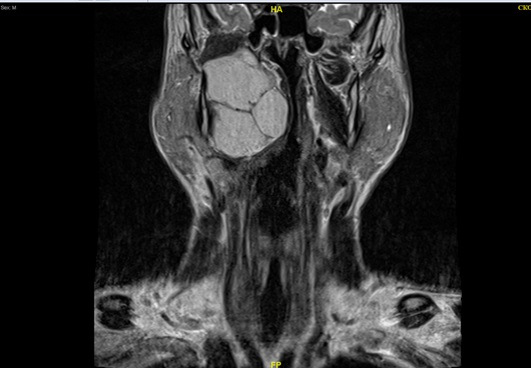
Пациент М., 63 лет, в феврале 2023 года обратилась за медицинской помощью к специалистам отделения патологии головы и шеи ФНКЦ ФМБА России с жалобой на наличие образования на шеи справа и чувства давления. Со слов пациента образование появилось в сентябре 2022 года, был отмечен постепенный рост. Неоднократно обращался к врачам в другие медицинские учреждения, был направлен в ФНКЦ ФМБА России для консультации.
При осмотре контуры лица ассиметричные за счет объемного образования в области угла нижней челюсти справа, при пальпации мягкой консистенции, безболезненное. При осмотре просвет глотки сужен до 1/2 за счет объемного образования извне.

По данным МРТ от 05.02.2023: В правом парафарингеальном пространстве отмечается крупное кистозно-солидное образование с чётким неровным контуром неправильной формы размером 68х75х48 мм. Латерально образование распространяется в сторону околоушного и каротидного пространства, вызывая компрессию проходящих там структур. После проведения МРТ исследования и УЗИ шеи выставлен диагноз «Боковая киста шеи».
Далее было выполнено хирургическое лечение в объеме удаление боковой кисты.
Пациент выписан на 3-е сутки после хирургического лечения
Источники
- Иваеенко П.И., Иванов С. В. Иванович В.А. [идр.. Эмбриональные кисты и свищи головы //Тр. ин-та стоматологии. Омск. 1999. № 1-С.24-27.
- Дрегалкина А.А. Герасимова Л.Д. Кроншталова Ю.П. Проблемы дифференциальной диагностики врожденных боковых кист шеи // Проблемы стоматологии. 2010. №2. С. 8-1.
- Дерачерл. И. Ильин А.А. Эхография и лечение броихиальных кист шеи // Зопо Асё инегпановай. 2001. №0
- S E Byrd, M Richardson, G Gill, A M Lee Computer-tomographic appearance of branchial cleft and thyroglossal duct cysts of the neck 1983г 52(6):301-12.
- A J Drumm 1, J M Chow Congenital neck masses 1989 Jan;39(1):159-63
- K Marsot-Dupuch 1, N Levret, C Pharaboz, Y Robert, M el Maleh, P Meriot, J L Poncet, F Chabolle Congenital neck masses. Embryonic origin and diagnosis. Report of the CIREOL 1995 Jul;76(7):405-15.


![Лицензия на осуществление медицинской деятельности стр. 3 Лицензия на осуществление медицинской деятельности стр. 3]](https://fnkc-fmba.ru/images/licenzya/prew/03.jpg)











