Описание заболевания
Аденома гипофиза — доброкачественная опухоль, которая характеризуется бесконтрольным ростом клеточных элементов гипофиза. По мере роста аденомы происходит сдавление соседних структур, что приводит к развитию зрительных нарушений, гидроцефалии.
Гипофиз — придаток мозга, который располагается в нижней части основания головного мозга в костном кармане. Отвечает за выработку гормонов: обмена веществ, роста, репродуктивную функцию.

Симптомы
Функционирующие аденомы гипофиза ответственны за симптомы в зависимости от того, какой гормон они продуцируют в избытке.
По мере роста аденома сдавливает нормально функционирующие участки гипофиза, тем самым снижая уровень определенных гормонов, а также близлежащие анатомические структуры, что определяет некоторую симптоматику.
Симптомы, связанные со сдавлением соседних анатомических структур
- головная боль;
- потеря зрения, частичное выпадение полей зрения.
Симптомы, связанные с изменением уровня гормонов
Большие новообразования могут приводить к дефициту гормонов. Признаки дефицита:
- тошнота, рвота;
- ощущение слабости;
- невозможность согреться;
- сексуальная дисфункция;
- изменение менструального цикла или его прекращение;
- увеличение объёма мочи;
- немотивированные потеря или набор веса.
Функционирующие новообразования производят к избыточному количеству гормонов. Различные виды аденом приводят к развитию специфических симптомов, а иногда и комбинации, в зависимости от того, какой гормон продуцируется опухолью.
-
Адренокортикотропный стимулирует выработку кортизола. Симптоматика:
- накопление жировой ткани в области живота и шейного отдела позвоночника;
- округление лица;
- похудение рук и ног, мышечная слабость;
- повышение артериального давления;
- повышение уровня глюкозы в крови;
- акне, стрии;
- хрупкость костей;
- беспокойство, раздражительность, депрессивные состояния.
-
Гормон роста. Опухоль, продуцирующая соматотропин, является причиной развития акромегалии и может характеризоваться следующими симптомами:
- увеличение размеров рук и ног;
- огрубевшие черты лица;
- избыточное потоотделение;
- высокое содержание глюкозы в крови;
- сердечная патология;
- суставные боли;
- изменение прикуса;
- усиленный рост волос по всему телу.
-
Пролактин. Продуцирующие новообразования приводят к дисбалансу половых гормонов — снижение выработки эстрогена у женщин и тестостерона у мужчин. Для пролактиномы характерна следующая симптоматика:
- нерегулярность менструального цикла;
- выделения из молочных желез;
- эректильная дисфункция;
- уменьшение выработки семенной жидкости;
- гинекомастия (увеличение молочных желез у мужчин).
-
Тиреотропный. Новообразование влияет на увеличение выработки щитовидной железой тироксина, что приводит к развитию следующих состояний:
- потеря веса;
- учащение сердцебиения;
- нервозность, раздражительность;
- частое опорожнение кишечника;
- чрезмерное потоотделение.
Диагностика
Аденома гипофиза зачастую не диагностируется сразу, поскольку симптоматика роста новообразования напоминают симптомы других заболеваний.
Диагноз «аденома гипофиза» ставится на основании клинической картины, описании характерных симптомов и следующих проведенных исследований:
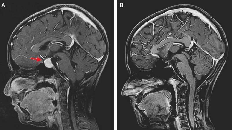
- КТ или МРТ головного мозга позволяет оценить локализацию и размеры опухоли;
- общий анализ крови и мочи;
- определение характера зрения.
Также лечащий врач может направить пациента на консультацию к эндокринологу для расширенной диагностики гормонального фона.

Лечение аденомы гипофиза
Способ лечения аденомы гипофиза зависит от типа опухоли, её размеров и степени давления, которое оказывается на соседние анатомические структуры. Определяющими факторами также являются возраст пациента и сопутствующие заболевания.
Алгоритм лечения определяется командой врачей — нейрохирургом, эндокринологом, онкологом-радиологом.
Хирургическое лечение
Существуют две основные хирургические техники (операции) для удаления аденомы гипофиза:
- Эндоскопический трансназальный транссфеноидальный доступ. В этом случае опухоль удаляется через нос и пазухи.
- Транскраниальный (наружный доступ) используется при новообразованиях большего размера.
Лучевая терапия
Используются высокоэнергетические источники излучения для прицельного разрушения опухолей.
Лекарственная терапия
В одних случаях лекарственные препараты, назначаемые врачом, блокируют избыточную выработку гормонов, в других — подавляют рост опухоли.
При пролактин-продуцирующих опухолях назначают каберголин и бромокриптин, АКТГ-продуцирующих опухолях — кетоконазол, митотан, метирапон, пасиреотид, опухолях, продуцирующих гормон роста — аналоги соматостатина и ланреотид.
В некоторых случаях диагностированная аденома гипофиза не вызывает симптомов. Пациенту рекомендуется регулярное посещение врачей с целью контроля роста новообразования и проверки гормонального фона.
Данная статья является информационным материалом и не предназначена для самодиагностики и самолечения. При появлении признаков недомогания следует обратиться к лечащему врачу.


![Лицензия на осуществление медицинской деятельности стр. 3 Лицензия на осуществление медицинской деятельности стр. 3]](https://fnkc-fmba.ru/images/licenzya/prew/03.jpg)











