Любые опухоли, которые расположены внутри черепа, представляют опасность. По мере роста эти объёмные образования могут привести к сдавлению головного мозга, его смещению и в результате этого к смерти. В то же время многие новообразования растут очень медленно и могут долгое время себя не проявлять. Больные нередко игнорируют ранние признаки опухоли головного мозга, принимая их за переутомление или другие заболевания. О симптомах, принципах диагностики и современных подходах к лечению опухолей мозга рассказываем в статье.
О заболевании
Опухоль головного мозга — это собирательный термин, которым обозначается любое новообразование, расположенное внутри черепа. В эту категорию относят патологию непосредственно мозговых структур, а также оболочек мозга, внутричерепных сосудов и нервов. Опухоли могут быть как доброкачественными, так и злокачественными. Объединяет эти заболевания общий признак: внутри черепа образуется очаг патологического роста клеток.
Среди всех опухолей, встречающихся у человека, новообразования мозга составляют около 2%. Патология может возникать у мужчин и женщин в любом возрасте. Ежегодно в России определяются более 32 тысяч соответствующих диагнозов. Так как патология объединяет разнородные образования, течение болезни и прогноз в значительной степени зависят от их типа.
Виды
Новообразования мозга — это обширная группа опухолей. Классифицируют их по различным признакам.
По степени изменения клеток выделяют доброкачественные и злокачественные неоплазии. Злокачественные образования, в свою очередь, подразделяют на первичные и вторичные, также называемые метастатическими. Первичные изначально формируются в полости черепа, а вторичные — в других частях тела, а затем распространяются в мозг.
По характеру роста различают инвазивный и экспансивный виды образований. Первый тип роста более характерен для злокачественных неоплазий. Инвазивные образования ведут себя агрессивно: увеличиваясь в размерах, они проникают в окружающие ткани, прорастая их. Экспансивный тип роста более свойственен доброкачественным новообразованиям. В этом случае опухоль растёт медленно, раздвигая соседние здоровые ткани.
В зависимости от вида ткани, из которой произошло развитие опухоли, выделяют различные морфологические или гистологические типы опухолей. Так, из вспомогательных клеток нервной ткани (глии) берут начало глиомы. К этому виду относится астроцитома — одна из наиболее часто встречающихся опухолей головного мозга. Нейрогенные образования формируются из нервных клеток и их оболочек. Это невромы, ганглионевромы, нейрофибромы. Из оболочек мозга формируются менингиомы. Существуют образования головного мозга, берущие начало из лимфоидных тканей, эмбриональных тканей, сосудистой природы и другие.
Гистологический тип опухоли — важный признак, от которого во многом зависит выбор тактики лечения. Расскажем о наиболее типичных видах патологии.
Астроцитома
Астроцитома — распространёный вид мозговой опухоли, образующийся из вспомогательных клеток нервной ткани. Астроцитомы могут иметь разную локализацию. Одни разновидности новообразований встречаются у детей, другие поражают людей старшего возраста. Мужчины страдают астроцитомой чаще, чем женщины. Патология может быть доброкачественной или злокачественной. Прогноз зависит от степени злокачественности и места нахождения неоплазии.
Опухоли оболочек мозга
Наиболее распространённое новообразование оболочек мозга — менингиома. Опухоль развивается из ткани паутинной мозговой оболочки. Чаще всего очаг располагается под сводом черепа, также он может локализоваться в области основания черепа. Менингиома в большинстве случаев (90%) — доброкачественная опухоль. Реже может приобретать злокачественный характер. Менингиомой чаще страдают женщины. Один из факторов риска развития опухоли — генетическая предрасположенность.
Опухоли лимфоидной ткани
Новообразования лимфоидной ткани (лимфомы) — редкий вид опухоли. Патология нередко сочетается с поражением структур глаза — сетчатки, стекловидного тела. У пациента также может быть затронут спинной мозг. Как отдельную форму заболевания рассматривают лимфому, связанную с вирусом иммунодефицита (ВИЧ). Новообразование часто имеет высокие показатели злокачественности.
Невринома головного мозга
Опухоль развивается из клеток оболочки нервного ствола. В большинстве случаев образование доброкачественное. Реже встречаются злокачественные формы. Невринома способна развиться в любой области головного мозга. Симптомы зависят от её локализации. В первую очередь страдает нервный ствол, оболочка которого поражена. Невринома может развиться в любом возрасте, чаще патология встречается у женщин.
Доброкачественная опухоль мозга
Большинство типов внутричерепных новообразований может иметь как доброкачественный, так и злокачественный характер. Доброкачественная опухоль головного мозга отличается менее выраженными симптомами, медленным ростом, не даёт метастазов. Очаг образования, как правило, отгорожен от окружающих тканей капсулой. Увеличиваясь, капсула не прорастает в здоровые ткани, а отодвигает их. В то же время опухоль может затрагивать жизненно важные мозговые центры, что может быть смертельно опасным.
Если лечение начато на ранних стадиях, прогноз у доброкачественных опухолей лучше, чем у злокачественных. После полного удаления они не склонны к рецидивам.
Причины и факторы риска
Причины возникновения онкологии головного мозга до сих пор до конца не изучены. Рассматривается большое количество факторов, способных спровоцировать патологический процесс. Среди них:
- некоторые наследственные заболевания;
- нарушения развития плода на эмбриональной стадии;
- воздействие радиации, токсических веществ, канцерогенов;
- влияние загрязнений окружающей среды;
- воздействие вирусов;
- заболевания, подавляющие иммунитет (разные формы ВИЧ-инфекции и др.);
- прохождение иммунодепрессивной (подавляющей иммунитет) терапии;
- черепно-мозговые травмы.
Наличие подобных обстоятельств не означает, что человек непременно заболеет. Однако их присутствие повышает вероятность патологии. Людям, подверженным перечисленным воздействиям, следует быть особенно внимательными к своему самочувствию.
Стадии
Опухоли нервной системы настолько разнородны, что к ним не применяется стандартная международная классификация по стадиям (TNM). Большее значение для выбора тактики лечения имеет степень злокачественности новообразования. Этот параметр определяется по классификации Grade, установленной ВОЗ. Учёными разработан ряд признаков, которыми обладают злокачественные патологические клетки и ткани. Рассматривается структура ядер, скорость деления клеток, присутствие сосудистых изменений и участков некроза. Чем больше выражены признаки, тем выше уровень злокачественности. Выделяют такие степени:
- Grade I — нет микроскопических признаков изменений;
- Grade II — присутствует один признак из перечня;
- Grade III — выражены клеточные изменения;
- Grade IV — присутствуют сосудистые изменения и очаги некроза.
Для отдельных видов новообразований, склонных к метастазированию (например, медуллобластома, пинеобластома) выделяют 4 стадии патологии на основании присутствия и распространения метастазов.
Симптомы
Симптомы патологии в большинстве случаев нарастают постепенно. Проявлениями новообразований становятся неврологические нарушения. Их выраженность зависит от места расположения неоплазии, скорости роста и состояния окружающих тканей. Значительная часть симптомов связана с повышением внутричерепного давления, отёком и раздражением нервных структур. У больного могут наблюдаться:
- тошнота и рвота — развивается без видимых причин, чаще ночью или утром;
- головная боль;
- потеря чувствительности отдельных зон;
- нарушения равновесия, походки, движений;
- судорожные приступы;
- снижение зрения или слуха;
- эндокринные нарушения;
- заторможенность;
- нарушение когнитивных функций, снижение памяти, внимания;
- психические отклонения.
По мере роста образования симптоматика становится более выраженной. В отдельных случаях клиническая картина может развиться внезапно, на фоне кажущегося благополучия.
Первые симптомы новообразований
Долгое время патология может оставаться скрытой. Первыми тревожащими признаками бывают:
- головокружения;
- частые головные боли;
- бессонница;
- ухудшение памяти;
- потеря внимания, трудности с концентрацией внимания;
- угнетённое состояние психики;
- тошнота ночью или по утрам;
- онемение отдельных участков тела.
При появлении нескольких подобных симптомов желательно сразу обратиться для обследования к неврологу.
Очаговые признаки новообразований на ранних стадиях
В отличие от общемозговых признаков, очаговые симптомы зависят от конкретного участка поражения. Различные зоны мозга отвечают за конкретные функции, работу определённых систем и участков тела. Очаговые симптомы позволяют предположить, в каком отделе развилась патология. К таким признакам относят:
- потерю чувствительности в отдельных участках;
- нарушение движения какой-либо части тела;
- нарушения мелкой моторики;
- ухудшение слуха;
- нарушения зрения;
- проблемы с равновесием, координацией;
- нарушения речи;
- сложности с чтением, письмом;
- судорожные приступы.
Разрастание железистой ткани (например, аденома гипофиза) может быть причиной гормонального сбоя.
Диагностика
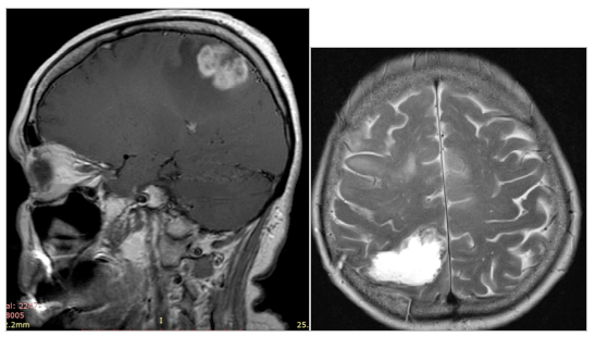
Первичную диагностику при заболевании обычно проводит врач-невролог или нейрохирург. Доктор собирает анамнез, оценивает неврологический статус пациента. При необходимости к обследованию привлекаются офтальмолог, отоларинголог, онколог. Из инструментальных исследований наиболее информативным считается МРТ головного (иногда и спинного) мозга, которое выполняется в трёх проекциях.
По показаниям могут быть проведены:
- КТ без введения контраста либо с контрастом;
- МР- или КТ-ангиография;
- ПЭТ (позитронная эмиссионная томография);
- электроэнцефалография;
- рентгенодиагностика.
Пациентам с опухолью мозга назначается расширенный комплекс лабораторных анализов, включающий определение биохимических показателей, онкомаркеров, параметров свёртываемости крови, молекулярно-генетическое исследование.
Для уточнения характера новообразования в некоторых случаях может понадобиться биопсия с последующим гистологическим исследованием изменённых тканей.
При выборе хирургического метода лечения предоперационное обследование дополняется рентгеном грудной клетки, УЗИ брюшной полости и вен нижних конечностей.
Лечение
Лечение заболевания всегда представляет собой комплекс методов. Над планом помощи работают врачи разных специальностей — нейрохирурги, онкологи, радиотерапевты.
Приоритетным видом лечения является хирургическое вмешательство. Радикальная операция позволяет удалить изменённые ткани. В ходе вмешательства происходит декомпрессия, то есть высвобождение сжатых и травмированных нервных тканей. Это помогает восстановить неврологический статус пациента, улучшает состояние и продлевает его жизнь. Если радикальное вмешательство выполнено на ранних стадиях, то пациент может полностью излечиться. Также возможно достижение длительной ремиссии.
В современной нейроонкологии применяются такие виды вмешательств:
- микрохирургическая техника, когда все манипуляции выполняются при помощи микроинструментов под контролем микроскопа;
- эндоскопическая операция — малотравматичное вмешательство, при котором через небольшое отверстие в черепе к опухоли подводятся эндоскопические инструменты, при этом все манипуляции проводятся под видеоконтролем;
- стереотаксические вмешательства, при которых используются специальные системы навигации, дающие нейрохирургу точную информацию о локализации новообразования;
- краниотомия методом замочной скважины, операционный доступ, который позволяет избежать удаления больших фрагментов черепных костей: трепанационное отверстие в черепе не превышает 3 см.
Во время вмешательства проводится хирургическая биопсия. После этого выполняется гистологическое исследование биоптата, позволяющее изучить строение опухолевых клеток и уточнить тип новообразования.
МРТ до операции
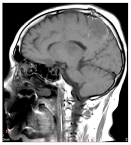
МРТ головного мозга после операции
Следующим этапом помощи выступает обычно лучевая терапия. Показаниями для неё служат: злокачественность образования, невозможность убрать весь очаг, выраженность неврологических симптомов. Врачи активно используют современные методики лучевой терапии, позволяющие доставить дозы облучения к очагу болезни, не повреждая при этом здоровые ткани. При лечении злокачественных новообразований также применяется химиотерапия. Лекарственное воздействие часто сочетается с лучевым, дополняя его.
Ещё один современный метод лечения злокачественных и доброкачественных новообразований мозга — радиохирургия. В отличие от хирургического вмешательства, этот способ не предполагает разрезов. Множество лучей проникает в мозг и благодаря системе навигации сходится точно в области опухоли. Радиохирургия может применяться самостоятельно или в составе комплексного лечения.
Симптоматическое лечение опухолей головного мозга включает обезболивающую, противосудорожную, противовоспалительную терапию.
Реабилитация
План реабилитации разрабатывается с учётом проведённого лечения и состояния пациента. По показаниям сохраняется медикаментозная поддержка, применяются физиотерапия, лечебная физкультура. Больному оказывают психологическую помощь. Проводятся общеукрепляющие процедуры.
У пациентов с неврологическими нарушениями реабилитация может включать работу по восстановлению речи, координации, моторики, объёма движений.
Прогноз и профилактика
Прогноз заболевания зависит от вида патологии, степени её злокачественности, распространения в мозговых структурах. Важный фактор хорошего прогноза — раннее начало лечения. Также имеют значение место локализации неоплазии, её операбельность. Доброкачественные формы более благоприятны в прогностическом плане. В каждом случае прогноз может определить только лечащий врач.
После окончания лечения пациенту рекомендуют проходить регулярные профилактические обследования. МРТ головы необходимо выполнять каждые 2 или 3 месяца в течение первых двух лет наблюдения. Затем исследования проводятся раз в полгода, на пятый год после операции можно перейти на режим исследования один раз в год.
Из общих профилактических мероприятий врачи рекомендуют правильное питание, умеренную физическую активность. По возможности надо исключить из своей жизни воздействие токсических веществ, избегать избытка солнечной радиации.
Данная статья является информационным материалом и не предназначена для самодиагностики и самолечения. При появлении признаков недомогания следует обратиться к лечащему врачу.


![Лицензия на осуществление медицинской деятельности стр. 3 Лицензия на осуществление медицинской деятельности стр. 3]](https://fnkc-fmba.ru/images/licenzya/prew/03.jpg)











