Саркоидоз — это одно из малоизученных заболеваний, у которого до сих пор неизвестны причины его возникновения. В настоящее время исследователи проверяют теории о наследственной предрасположенности (есть доказанные случаи заболевания среди близких родственников).
Основным маркером саркоидоза являются гранулемы в легких - это плотные узелки воспаления в пораженных тканях. По ним и строится определение заболевания — неинфекционный воспалительный процесс, проявляющийся в появлении гранулём в легких.

Симптомы саркоидоза легких
Заболевание может протекать без выраженных симптомов долгое время, вплоть до больших объемов пораженных тканей.
Частыми симптомами саркоидоза являются:
- повышенная утомляемость,
- кашель,
- небольшое повышение температуры тела
- появление на коже ног красных зудящих пятен (узловатая эритема)
Как ни удивительно, часто пациенты с саркоидозом приходят к врачу не с перечисленными симптомами, а с жалобами на дискомфорт в глазах (конъюнктивит, сухость), с поражениями кожи (появляются коричневые, желтые бляшки), по этим и другим косвенным признакам специалист сможет диагностировать саркоидоз даже на ранних стадиях.
Диагностика
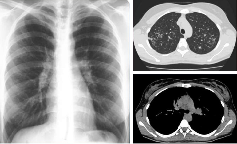
В первую очередь необходимо провести визуализацию грудной клетки, чтобы обнаружить очаги воспаления и увеличенные внутригрудные лимфатические узлы. Затем нужны анализы крови, выделяемой мокроты, данные спирометрии - в том числе чтобы исключить другие заболевания с похожими симптомами. Возможно потребуется биопсия: ведь гранулёмы легко различимы при микроскопическом исследовании.
Задача лечащего врача состоит в том, чтобы обнаружить все очаги воспаления в организме, т.к. саркоидоз может быть не только в легких, но и в селезенке, печени, лимфатических узлах.
Есть предположение, что саркоидозом чаще болеют люди зрелого возраста (хотя наблюдалось заболевание во всех возрастах); также есть предположение, что чаще болеют женщины. Но специалисты нашего центра, исходя из своего опыта, склоняются к тому, что у женщин просто ярче проявляются симптомы, и в большинстве они внимательнее относятся к своему здоровью, вовремя обращаясь за помощью к специалисту.
Лечение саркоидоза легких
С таким сложным заболеванием необходимо обращаться только к проверенным специалистам, обладающим опытом диагностики и лечения саркоидоза. Заболевание нужно вовремя диагностировать, не спутав с другими возможными причинами проявившихся симптомов, правильно провести забор материала для биопсии, подобрать лечение с минимальными последствиями для организма, четко определив тяжесть поражения.
Ведь известны случаи, когда иммунитет пациента справлялся с саркоидозом при помощи сопутствующей поддерживающей терапии без серьезных лекарственных препаратов. Врачи нашего пульмонологического отделения исходя из опыта знают, что течение заболевания и проявление симптомов крайне изменчиво, важно профессионально вести пациента от первой консультации и до полной ремиссии, т.е. исчезновения гранулём в легких, а также подтверждения, что в организме не сохранились другие очаги воспаления.
Саркоидоз не частое заболевание, поэтому часто пациент сталкивается с трудностями в амбулаторной практике, именно поэтому так важно обратиться за медицинской помощью в центр, где работают врачи, имеющие в своем опыте случаи пролеченного саркоидоза, собственные проверенные схемы лечения, подкрепленные мощной научной базой.
Пульмонологическое отделение нашего центра считается одним из ведущих в стране, благодаря современному оснащению и составу команды специалистов: наши врачи-пульмонологи разрабатывают уникальные программы лечения и реабилитации, в том числе и для пациентов с саркоидозом, проводят обучение коллег из других центров, печатают результаты своих исследований в ведущих международных изданиях.
В отделении доступны все возможные средства диагностики и лечения заболеваний легких: как современные, так и проверенные временем. Более того, в нашем центре, единственном в России, проводятся клинические испытания, и именно нашими специалистами подтверждается эффективность новой диагностической и лечебной аппаратуры, проходящей регистрацию для использования в дальнейшем во всех пульмонологических отделениях страны.
Данная статья является информационным материалом и не предназначена для самодиагностики и самолечения. При появлении признаков недомогания следует обратиться к лечащему врачу.


![Лицензия на осуществление медицинской деятельности стр. 3 Лицензия на осуществление медицинской деятельности стр. 3]](https://fnkc-fmba.ru/images/licenzya/prew/03.jpg)











